+918042754872
Currently it only shows your basic business info. Start adding relevant business details such as description, images and products or services to gain your customers attention by using Boost 360 android app / iOS App / web portal.

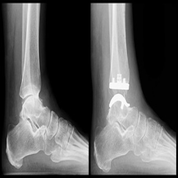
Ankle Instability Doctor in Nagpur – Restore Confidence in Your Movement Tired of frequent ankle sprains or that uneasy wobble while walking? The ankle instability doctor in Nagpur at Suyog Hospital focuses on strengthening your ankle joint and stabilizing its function. Chronic instability not only increases fall risk but can lead to long-term joint damage if left untreated. We assess your history of injuries, perform a detailed physical exam, and create a plan that may involve physical therapy, bracing, or surgical repair of damaged ligaments. Our holistic approach aims to rebuild confidence in every step you take. Don’t let weak ankles slow you down. Consult the trusted ankle instability specialist at Suyog Hospital in Nagpur and regain strength, support, and stability for active living.