+918042754872

SUYOGHOSPITALHEALTHCAREGENERALNAGPUR https://www.suyoghospitalnagpur.com
Preview

This is your website preview.

Currently it only shows your basic business info. Start adding relevant business details such as description, images and products or services to gain your customers attention by using Boost 360 android app / iOS App / web portal.

917559371956

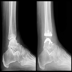
We Provide Best Doctor For Ankle Replacement Surge...

2024-07-17T00:49:10
services